عفونت لثه در کودکان یکی از مشکلات شایع دهان و دندان است که میتواند باعث درد، التهاب و حتی تب شود. این مشکل اغلب به دلیل تجمع باکتری در اطراف دندانها و لثه یا به دنبال ضربه، پوسیدگی و شکستن دندان ایجاد میشود. اگر به موقع درمان نشود، نهتنها سلامت لثه، بلکه رشد و سلامت کلی کودک را تحت تأثیر قرار میدهد. شناخت علائم اولیه، آگاهی از علتها و آشنایی با روشهای درمان خانگی و تخصصی، بهترین راه برای پیشگیری و کنترل این عارضه است. در ادامه به طور کامل به بررسی علتها، علائم و روشهای مؤثر درمان عفونت لثه کودکان میپردازیم. برای آشنایی با درمان عفونت لثه کودکان در ادامه مقاله با ما همراه باشید.
عفونت لثه در کودکان چیست؟
عفونت لثه در کودکان حالتی است که در آن بافت لثه دچار التهاب و آلودگی باکتریایی میشود. عامل اصلی این مشکل، تجمع پلاکهای میکروبی روی دندان و اطراف لثه است؛ پلاکهایی که از ترکیب باقیمانده غذا و باکتریهای دهان شکل میگیرند. اگر این پلاکها بهطور منظم با مسواک و نخ دندان پاک نشوند، میتوانند باعث بروز ژینجیویت (التهاب اولیه لثه) شوند که با علائمی مانند قرمزی، تورم و خونریزی همراه است. بیتوجهی به درمان این عارضه ممکن است زمینهساز بیماریهای جدیتری مانند پریودنتیت (عفونت عمقی لثه) شود که میتواند به تخریب بافتهای نگهدارنده دندان و حتی از دست دادن دندان منجر گردد. بنابراین، پیشگیری، رعایت بهداشت دهان و اقدام سریع در زمان مشاهده علائم، کلید حفظ سلامت لثه و دندانهای کودکان است.
علائم عفونت لثه در کودکان
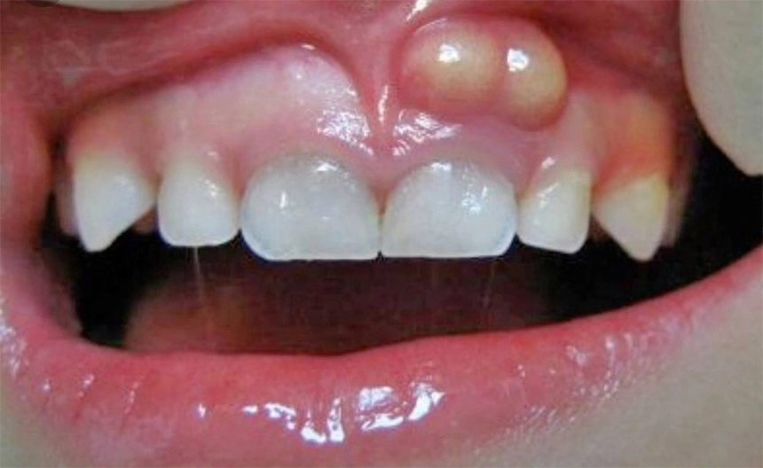
عفونت لثه در کودکان میتواند در هر سنی بروز کند؛ حتی نوزادان نیز ممکن است دچار نوع خاصی از آن شوند که به آن عفونت لثه نوزادان گفته میشود. شناسایی بهموقع علائم این مشکل، نقش مهمی در درمان سریع و پیشگیری از عوارض جدی دارد. رایجترین نشانههای عفونت لثه کودکان عبارتاند از:
- درد شدید و ناگهانی در لثه یا دندان آسیبدیده که بهصورت ضرباندار آغاز میشود و به تدریج شدت میگیرد.
- انتشار درد به فک یا گوش در همان سمت محل عفونت، بهویژه هنگام صحبت یا جویدن.
- شدت گرفتن درد در حالت دراز کشیدن که باعث بیقراری و اختلال خواب کودک میشود.
- درد هنگام خوردن غذا و کاهش تمایل به جویدن یا بلعیدن مواد غذایی.
- تورم و ورم محسوس در صورت در همان سمت لثه عفونی.
- بروز تب به دلیل واکنش بدن به باکتریها.
- لق شدن دندان آسیبدیده به دلیل التهاب و آسیب بافت نگهدارنده.
- قرمزی، التهاب و براق شدن بافت لثه همراه با بزرگشدن نواحی ملتهب.
- حساسیت دندان یا لثه به مواد سرد یا گرم که باعث درد ناگهانی میشود.
- بوی بد دهان و طعم ناخوشایند ناشی از رشد باکتری و تجمع چرک در ناحیه عفونت.
🔹 در موارد پیشرفته ممکن است ترشح چرکی از لثه نیز مشاهده شود که نشانه آبسه و نیازمند مداخله فوری دندانپزشکی است.
بیشتر بخوانید:
چرا دندان کودک من تغییر رنگ داده

علت عفونت لثه در کودکان
عفونت لثه در کودکان نتیجه رشد و تکثیر بیشازحد باکتریها در محیط دهان است که میتواند تحت تأثیر عوامل مختلفی ایجاد شود. شناسایی این عوامل، نقش مهمی در پیشگیری و درمان بهموقع دارد. مهمترین دلایل بروز این عارضه عبارتاند از:
-
ضعف در بهداشت دهان و دندان
مسواک نزدن منظم یا استفاده نکردن از نخ دندان، باعث باقیماندن ذرات غذا و رشد سریع باکتریها میشود. این مسئله بهمرور زمان منجر به التهاب، خونریزی و نهایتاً عفونت لثه خواهد شد.
-
مصرف مکرر مواد قندی و شیرینیجات
شیرینی، شکلات، آبمیوههای صنعتی و تنقلات قندی بیشترین تأثیر را در تکثیر باکتریهای مضر دارند. اسید حاصل از فعالیت این باکتریها، ساختار مینای دندان را تخریب کرده و لثه را مستعد التهاب میکند.
-
تجمع پلاک و جرم دندانی
اگر پلاکهای میکروبی با مسواک و نخ دندان پاک نشوند، به جرم دندانی سخت تبدیل میشوند که تنها با جرمگیری تخصصی از بین میرود. این جرم میتواند بافت لثه را تخریب و عفونت ایجاد کند.
-
کمبود ویتامینها و مواد معدنی
بهخصوص کمبود ویتامین C که برای حفظ استحکام و ترمیم بافت لثه ضروری است. کمبود این ویتامین میتواند مقاومت لثه را کاهش داده و خطر التهاب و خونریزی را افزایش دهد.
-
تغییرات هورمونی در دوران رشد
نوسانات هورمونی در سنین پیش از نوجوانی و نوجوانی میتواند حساسیت لثه را بیشتر کرده و التهاب را تسهیل کند.
-
آسیب یا ضربه به دندان و لثه
شکستگی یا ترکخوردگی دندان، راه نفوذ میکروبها به بافت لثه را باز کرده و منجر به ایجاد آبسه میشود.
پیشگیری از عفونت لثه در کودکان، ترکیبی از رعایت دقیق بهداشت دهان، رژیم غذایی سالم و معاینات منظم دندانپزشکی است.

درمان عفونت لثه کودکان
| نوع درمان | نام دارو / روش | کاربرد و توضیحات |
|---|---|---|
| شربت آنتیبیوتیک | شربت آموکسیسیلین | رایجترین آنتیبیوتیک برای درمان عفونتهای باکتریایی لثه؛ اثربخش در موارد عفونت متوسط. باید طبق تجویز پزشک مصرف شود. |
| شربت کلیندامایسین | مناسب برای کودکان با مقاومت دارویی یا آلرژی به پنیسیلین؛ کاربرد ویژه در عفونتهای شدید یا مقاوم. | |
| شربتهای ضدعفونیکننده دهان | حاوی مواد آنتیسپتیک ملایم؛ کمک به کاهش التهاب و باکتریهای دهان، استفاده همراه با مسواکزدن ملایم. | |
| آنتیبیوتیک خوراکی / چرکخشککن | آموکسیسیلین | انتخاب اول برای درمان آبسه و عفونت لثه؛ اثربخش در اغلب عفونتهای باکتریایی دهان کودکان. |
| کلیندامایسین | جایگزین مناسب برای کسانی که به پنیسیلین حساسیت دارند؛ موثر در عفونتهای باکتریایی مقاوم. | |
| مترونیدازول | مفید برای عفونتهای شدید یا بیهوازی لثه؛ معمولاً همراه با آموکسیسیلین تجویز میشود. | |
| آزیترومایسین | گزینه جایگزین دیگر برای کودکان با آلرژی به پنیسیلین؛ اثربخش در طیف وسیعی از عفونتهای باکتریایی دهان. | |
| مراقبتهای خانگی | دهانشویه آب نمک، تغذیه سالم، مسواکزدن ملایم | به کاهش التهاب و درد کمک کرده و مانع پیشرفت عفونت میشود؛ جایگزین درمان دارویی نیست، بلکه مکمل آن است. |
بیشتر بحوانید:
اگر دندان شیری را قورت دهیم چه می شود
درمان عفونت لثه کودکان در خانه
هیچ پدر یا مادری طاقت دیدن درد فرزندش را ندارد، بهخصوص وقتی پای عفونت لثه به میان میآید؛ زیرا این عارضه نهتنها درد زیادی ایجاد میکند، بلکه میتواند خواب و تغذیه کودک را هم مختل کند. از آنجا که این مشکل در بسیاری موارد بهطور ناگهانی شروع میشود، ممکن است در لحظه امکان مراجعه فوری به پزشک وجود نداشته باشد. در این شرایط، برخی روشهای خانگی میتوانند به کاهش التهاب، درد و پیشگیری از پیشرفت عفونت کمک کنند تا زمان مراجعه به دندانپزشک فرا برسد.
روشهای مؤثر خانگی برای کاهش درد و التهاب لثه کودکان:
-
شستشوی دهان با آب نمک ولرم
یک قاشق چایخوری نمک را در یک لیوان آب ولرم حل کنید. از کودک بخواهید محلول را حدود ۳۰ ثانیه در دهان بچرخاند و سپس بیرون بریزد. این کار به ضدعفونی ناحیه عفونت و کاهش التهاب کمک میکند.
-
محلول جوش شیرین
نصف قاشق غذاخوری جوش شیرین را به محلول آب و نمک اضافه کنید. خاصیت قلیایی جوش شیرین به خنثی کردن اسیدهای باکتریایی و بهبود التهاب کمک میکند.
-
اسانس پونه
چند قطره اسانس پونه را بهآرامی روی لثه عفونی ماساژ دهید. این گیاه دارای خاصیت ضدباکتری و آرامبخش طبیعی است.
-
کمپرس سرد
تکهای یخ را داخل پارچه تمیز قرار داده و بر روی گونه (سمت محل عفونت) به مدت ۱۰ دقیقه بگذارید. این روش برای کنترل ورم و تسکین درد مؤثر است.
-
دمنوش شنبلیله
شنبلیله خاصیت ضدالتهابی دارد. یک فنجان دمنوش تازه شنبلیله آماده کرده و پس از ولرم شدن، کمکم بنوشانید.
-
میخک یا اسانس میخک
اسانس میخک به دلیل وجود ترکیب «اوژنول» اثر بیحسکننده و ضدباکتری دارد. یک یا دو قطره را روی لثه قرار دهید.
-
اسانس آویشن
میتوانید پنبه تمیزی را به اسانس آویشن آغشته کرده و به مدت چند دقیقه روی ناحیه ملتهب نگه دارید.
-
سیر تازه
یک حبه سیر را له کنید تا حالت خمیری پیدا کند، سپس خمیر را بهآرامی روی لثه عفونی شده بگذارید. سیر دارای خاصیت آنتیبیوتیک طبیعی است.
⚠ توجه: این روشها فقط برای کنترل موقت علائم هستند و جایگزین درمان تخصصی دندانپزشکی نمیشوند. در صورت ادامه درد یا بروز تب، مراجعه فوری به دندانپزشک الزامی است.
خلاصه مطلب
عفونت لثه در کودکان یک مشکل شایع و دردناک است که میتواند به دلیل بهداشت دهان ضعیف، مصرف زیاد قند یا حتی کمبود ویتامین ایجاد شود. شناخت علائم اولیه مانند درد، ورم، قرمزی لثه و تب، و شروع اقدامات سریع، از پیشرفت بیماری جلوگیری میکند. روشهای خانگی مثل شستشو با آب نمک، استفاده از اسانس میخک یا کمپرس سرد میتوانند موقتاً درد را آرام کنند، اما درمان قطعی تنها با مراجعه به دندانپزشک متخصص انجام میگیرد.
در مطب دندانپزشکی کودکان در اصفهان دکتر بهزادی ، تشخیص دقیق علت عفونت و درمان تخصصی با استفاده از جدیدترین روشها انجام میشود تا سلامت دهان و دندان فرزندتان تضمین شود.